Mẹo chữa áp xe không chỉ giúp xoa dịu cơn đau răng dữ dội mà còn hỗ trợ làm xẹp ổ viêm, ngăn biến chứng lan rộng. Bài viết dưới đây, Nha Khoa Kim sẽ chỉ ra các triệu chứng, hậu quả nếu không điều trị áp xe răng.
Mẹo chữa áp xe không chỉ giúp xoa dịu cơn đau răng dữ dội mà còn hỗ trợ làm xẹp ổ viêm, ngăn biến chứng lan rộng. Bài viết dưới đây, Nha Khoa Kim sẽ chỉ ra các triệu chứng, hậu quả nếu không điều trị áp xe răng. Đồng thời cũng bật mí đến bạn những mẹo dân gian có thể “giải cứu” nụ cười của bạn ngay tại nhà, an toàn và hiệu quả.

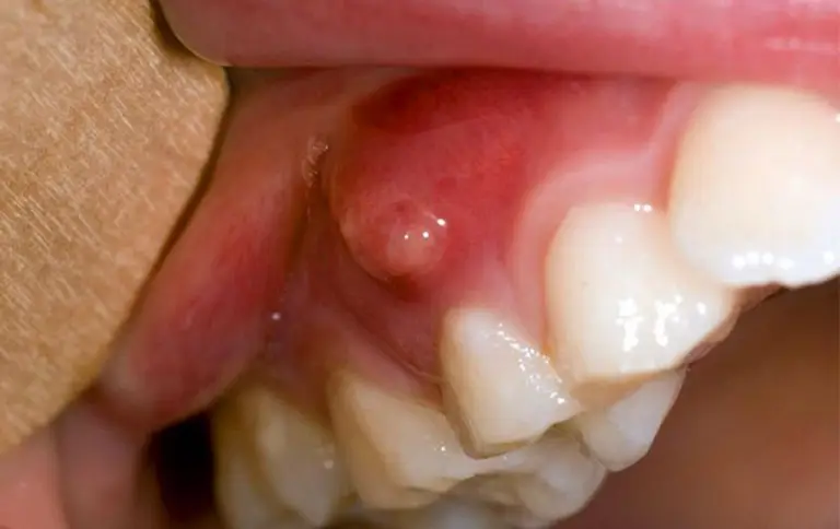
Triệu chứng của áp xe răng
Đừng bỏ qua những dấu hiệu dưới đây, bởi áp xe răng thường khởi phát âm thầm nhưng nhanh chóng gây đau nhức dữ dội và sưng viêm khó chịu.
- Mặt sưng nghiêm trọng, khi bị nhiễm trùng nặng có thể đau lan đến cổ.
- Khi nhai hoặc cắn thức ăn cảm thấy đau đớn, khó chịu.
- Phát sốt, chóng mặt, ớn lạnh hay có lúc cơ thể nóng bừng, đổ mồ hôi nhiều.
- Răng đau dai dẳng, đau nhói hoặc đau dữ dội ở nướu gần chân răng.
- Xuất hiện tình trạng chảy mủ đặc kèm theo máu. Đây là dấu hiệu áp xe răng có mủ, cần được xử lý sớm để tránh lan rộng.
Lưu ý: Nếu dấu hiệu áp xe răng này ngày càng nặng, nghĩa là ổ áp xe răng đang phát triển lớn. Điều này sẽ gây ảnh hưởng đến dây thần kinh cũng như mô xung quanh. Nó dễ dẫn đến áp xe chân răng, tình rạng nhiễm trùng sâu chân răng gây đau nhức dữ dội.
Hậu quả khi không điều trị áp xe răng sớm
Nhiều người thường xem nhẹ cơn đau răng thoáng qua và không biết áp xe chân răng có nguy hiểm không. Tuy nhiên, việc chậm trễ điều trị có thể dẫn đến biến chứng áp xe răng nguy hiểm như:
- Viêm mô lan tỏa: Vòm miệng và sàn miệng bị áp xe khiến người bệnh sưng đau toàn miệng. Trường hợp trở nặng, tình trạng này có thể ảnh hưởng đến đường hô hấp gây ngạt thở.
- Áp xe ngoài mặt: Viêm tấy lan đến sàn miệng, hố thái dương khiến các cơn đau xuất hiện nhiều và càng dữ dội. Làm tác động xấu đến sức khỏe của người bệnh.
- Nhiễm trùng xoang hàm, viêm nội tâm mạc: Xảy ra khi vi khuẩn từ ổ áp xe lan theo đường máu đến tim, não hay các cơ quan khác. Nếu không được xử lý kịp thời, nhiễm trùng huyết có thể bùng phát, gây biến chứng nguy hiểm và thậm chí đe dọa tính mạng.
Mẹo chữa áp xe răng phổ biến trong dân gian
Bên cạnh điều trị nha khoa, bạn có thể áp dụng mẹo dân gian chữa áp xe răng để giảm đau, tiêu viêm hiệu quả. Đặc biệt hữu ích cho những ai răng bị áp xe ở mức độ nhẹ:
Mẹo chữa áp xe răng bằng baking soda
Kết hợp baking soda và muối là mẹo chữa áp xe răng tại nhà đơn giản, được nhiều người tin dùng. Hỗn hợp này có khả năng kháng khuẩn, giảm viêm và làm dịu nhanh vùng nướu sưng đau hiệu quả. Bạn có thể áp dụng cách này tối đa 2 lần/ngày để hỗ trợ cải thiện tình trạng áp xe hiệu quả và an toàn.
- Bước 1: Pha loãng 1/2 thìa baking soda với 1/2 cốc nước rồi hoà tan cùng một chút muối
- Bước 2: Ngậm hỗn hợp vừa pha trong miệng tối đa 5 phút.
- Bước 3: Nhổ ra và lặp lại đến khi sử dụng hết nước hỗn hợp vừa pha.
Mẹo chữa áp xe răng bằng cách dùng gừng tươi
Gừng tươi được xem là vị thuốc quý nhờ đặc tính kháng viêm và sát khuẩn tự nhiên. Phương pháp này không chỉ giúp giảm đau nhức mà còn hỗ trợ làm tiêu ổ viêm do áp xe răng gây ra.
- Bước 1: Chuẩn bị 1 nhánh gừng tươi và nước sạch.
- Bước 2: Rửa sạch gừng tươi rồi đem xay nhuyễn cùng một ít nước.
- Bước 3: Sử dụng bông gòn thấm dung dịch gừng, thoa lên vùng răng đang bị áp xe. Để yên trong vòng 5 phút rồi súc miệng lại với nước lọc.
Dùng tinh dầu tràm trà chữa áp xe răng
Tinh dầu tràm trà có tác dụng rất tốt trong việc kháng khuẩn, giảm viêm. Chúng có thể làm dịu vùng nướu sưng đau, hỗ trợ giảm áp xe răng hiệu quả và mang lại hơi thở thơm mát.
- Bước 1: Nhỏ 1 – 2 giọt tinh dầu vào bông gòn hoặc tăm bông.
- Bước 2: Chấm nhẹ vào vùng áp xe răng và để nguyên trong khoảng 3-5 phút rồi súc miệng lại với nước lọc.
Mẹo chữa áp xe răng bằng tỏi hiệu quả
Tỏi được xem là “kháng sinh tự nhiên” nhờ chứa allicin có khả năng kháng khuẩn và giảm viêm. Dùng tỏi đúng cách giúp giảm đau, hỗ trợ tiêu mủ và cải thiện áp xe răng hiệu quả.
- Bước 1: Chuẩn bị 1 – 2 tép tỏi, nước sạch
- Bước 2: Xay nhuyễn tỏi với một ít nước.
- Bước 3: Dùng bông gòn thấm dung dịch tỏi và thoa lên vị trí áp xe khoảng 3 – 5 phút.
- Bước 4: Súc miệng lại bằng nước sạch để làm sạch khoang miệng và loại bỏ các chất còn tồn đọng.
Lưu ý khi áp dụng các mẹo dân gian
Khi áp dụng mẹo dân gian chữa áp xe răng, bạn cần lưu ý một số điểm quan trọng để đảm bảo an toàn và đạt hiệu quả tốt nhất.
- Chỉ nên áp dụng mẹo này với trường hợp áp xe nhẹ. Nếu ổ viêm lan rộng hoặc đau dữ dội, cần đến cơ sở y tế để điều trị kịp thời.
- Trước khi thực hiện cần vệ sinh tay, dụng cụ sạch sẽ để tránh vi khuẩn xâm nhập thêm.
- Không nên lạm dụng hoặc sử dụng những mẹo trên quá thường xuyên. Vì một số phương pháp có thể gây kích ứng nước, men răng.
- Mẹo chữa áp xe dân gian chỉ có tác dụng hỗ trợ, không thể thay thế phương pháp điều trị y khoa.
- Nếu sau vài ngày áp dụng các cách điều trị áp xe tại nhà không thấy thuyên giảm. Bệnh nhân cần đến nha sĩ để được kiểm tra và điều trị chuyên sâu.
Điều trị tận gốc áp xe chân răng
Để chấm dứt tình trạng đau nhức và ngăn áp xe tái phát, bác sĩ sẽ thăm khám kỹ lưỡng. Sau khi nắm chính xác tình trạng mới đưa ra phương pháp điều trị phù hợp.
Điều trị ngay áp xe răng khi xuất hiện triệu chứng cấp tính
Trường hợp cấp tính, bác sĩ tiến hành loại bỏ ổ mủ để tránh gây ảnh hưởng mô xung quanh.
- Bước 1: Vệ sinh răng miệng sạch sẽ cho người bệnh.
- Bước 2: Rạch mở niêm mạc để hút bỏ dịch, loại bỏ toàn bộ vi khuẩn bên trong.
- Bước 3: Làm sạch vết thương và sử dụng thuốc điều trị áp xe để ngăn tái nhiễm theo đơn của bác sĩ.
Can thiệp tận gốc để chấm dứt áp xe răng
Tùy vào mức độ nhiễm trùng, bác sĩ sẽ đánh giá xem răng có thể được bảo tồn bằng phương pháp chữa viêm tủy hay không. Với cách này, toàn bộ mạch máu và dây thần kinh bị tổn thương sẽ được loại bỏ. Ổ răng sau đó được lấp kín, mảnh vỡ được gắp ra, vôi răng làm sạch. Đồng thời trám hoặc bọc răng để ngăn ngừa các hậu quả về sau.
Trong trường hợp vi khuẩn đã xâm nhập sâu, gây viêm tủy nặng và không thể cứu vãn, biện pháp hiệu quả nhất là nhổ răng. Sau khi nhổ, bác sĩ sẽ làm sạch mủ và kê đơn thuốc giảm đau, ngăn tình trạng nhiễm trùng lan rộng.
Bị áp xe răng kiêng ăn gì?
Biết rõ những thực phẩm nên kiêng dưới đây sẽ giúp giảm viêm, hạn chế đau nhức và hỗ trợ răng miệng mau lành.
- Đồ ăn cay nóng, cứng: Những thực phẩm này có thể kích thích nướu, khiến áp xe răng nặng hơn. Các món như tỏi, ớt, tiêu, hành tây, đồ chiên rán hay các loại hạt cần được hạn chế.
- Đồ uống ngọt/ có gas: Nước ngọt và các loại đồ uống có gas chứa nhiều đường và axit. Chúng tạo môi trường lý tưởng cho vi khuẩn phát triển, làm tình trạng áp xe răng thêm trầm trọng.
- Rượu bia, chất kích thích: Rượu, bia và thuốc lá có thể làm chậm quá trình lành vết thương. Đồng thời tăng nguy cơ nhiễm trùng tại ổ răng bị áp xe.
Biện pháp chăm sóc răng miệng phòng ngừa áp xe
Để tránh tình trạng áp xe răng tái phát, bạn cần lưu ý đến những biện pháp chăm sóc răng miệng đơn giản nhưng rất hiệu quả dưới đây.
- Lựa chọn bàn chải đầu nhỏ, lông mềm và đặc biệt nên thay bàn chải sau 2 – 3 tháng sử dụng. Đánh răng 2–3 lần mỗi ngày, chú ý chải kỹ cả mặt trong, mặt ngoài và mặt nhai. Để làm sạch hoàn toàn mảng bám và vi khuẩn.
- Dùng chỉ nha khoa, máy tăm nước và nước súc miệng để “đánh bay” mảng bám. Điều này làm răng sáng bóng và nướu chắc khỏe.
- Ăn uống đủ chất, bổ sung thêm rau xanh, hoa quả tươi, giàu vitamin và khoáng chất cần thiết cho sự phát triển của răng.
- Hạn chế thực phẩm nhiều đường, chất kích thích như bánh ngọt, cafe, rượu bia.
- Kiểm tra sức khỏe răng miệng định kỳ để phát hiện sớm và đưa ra biện pháp khắc phụ tình trạng bệnh lý (nếu có).
Hy vọng qua bài viết này sẽ giúp bạn nhận biết triệu chứng, hiểu rõ hậu quả. Từ đó áp dụng những mẹo chữa áp xe răng tại nhà an toàn và hiệu quả.

